Yalova İmplant
Diş İmplantları: Modern Diş Hekimliğinde Çığır Açan Bir Çözüm Diş implantları, kaybedilen dişlerin yerine kalıcı ve doğal bir alternatif sunan modern diş hekimliği çözümleridir. Geleneksel… Daha fazlasını oku »Yalova İmplant
Diş İmplantları: Modern Diş Hekimliğinde Çığır Açan Bir Çözüm Diş implantları, kaybedilen dişlerin yerine kalıcı ve doğal bir alternatif sunan modern diş hekimliği çözümleridir. Geleneksel… Daha fazlasını oku »Yalova İmplant
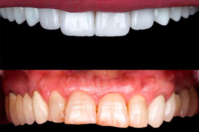
Zirkonyum Diş Tedavisi: Estetik ve Dayanıklılığın Mükemmel Birleşimi Diş hekimliğinde estetik ve fonksiyonel mükemmeliyeti hedefleyen zirkonyum diş tedavisi, modern diş hekimliğinde önemli bir yer tutar.… Daha fazlasını oku »Yalova Zirkonyum Diş Tedavisi
Ortodonti: Diş ve Çene Yapısını İyileştirmede Bilim ve Sanat Ortodonti, dişlerin ve çene yapılarının düzgün hizalanmasını sağlamak amacıyla uygulanan diş hekimliği dalıdır. Bu disiplin, sadece… Daha fazlasını oku »Yalova Ortodonti
Pedodonti: Çocukların Diş Sağlığına Özel Yaklaşım Pedodonti, çocukların diş ve ağız sağlığını koruma ve geliştirme amacı güden diş hekimliği dalıdır. Bu özel alan, çocukların diş… Daha fazlasını oku »Yalova Pedodonti
Dişlerimiz, günlük yaşantımızda önemli bir rol oynar; çiğneme, konuşma ve estetik açıdan. Ancak çeşitli nedenlerle dişlerdeki pulpa (sinir ve damarlar içeren doku) zarar görebilir ve… Daha fazlasını oku »Yalova Kanal Tedavisi